There are many horrible stories about the people finding thing inside their body.However, this is the most sickening discovery yet.
Hundreds of ants continue to alive inside the girl head,with about a dozen or so emerging from her ears every day according to the Toronto Sun.
This girl who had ants in her head,Only 12 year old.
Hundreds of ants continue to alive inside the girl head,with about a dozen or so emerging from her ears every day according to the Toronto Sun.
This girl who had ants in her head,Only 12 year old.
Shreya Darji lives in Deesa, Gujarat, India.
She dose not feel any pain from the and in her ears.
Sherya Darji had ants getting out of her ears every day.
Doctors Were Shocked when an ant found in her head.
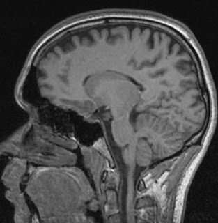
Several scans have been conducted to check her condition.
Doctors Can not identify the cause of this weird infestation.
Her father hope that everything will return back to normal.
Indian Girl Who Had More Than Thousand Ants Lived Inside Her Head And She Was Cluless
Reviewed by Ramzan Bhatti
on
02:12:00
Rating:
Reviewed by Ramzan Bhatti
on
02:12:00
Rating:







